Act as an integration point for multiple biochemical signals, and are involved in a wide variety of cellular processes such as proliferation, differentiation, transcription regulation and development. The activation of ERK2 requires its phosphorylation by upstream kinases. ERK2 is located in the cytoplasm of resting cells and translocates into the nucleus upon extracellular stimuli by active transport of a dimer. ERK2 is essential for placental development and ERK2 in the trophoblast compartment may be indispensable for the vascularization of the labyrinth.
推荐稀释比 WB:1/500-1/1000;IHC:1/50-1/100

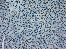
Immunohistochemistry analysis of paraffin-embedded Human pancreas tissue using MAPK1 antibody.High-pressure and temperature Sodium Citrate pH 6.0 was used for antigen retrieval.
Store at 4°C short term. Aliquot and store at -57°C long term. Avoid freeze/thaw cycles.





