NME4 Mouse mAb [KO验证]
产品介绍
The nucleoside diphosphate (NDP) kinases (EC 2.7.4.6) are ubiquitous enzymes that catalyze transfer of gamma-phosphates, via a phosphohistidine intermediate, between nucleoside and dioxynucleoside tri- and diphosphates.The enzymes are products of the nm23 gene family, which includes NME4
产品性质
产品特色
推荐稀释比 WB:1/500-1/1000;IHC:1/50-1/100
应用案例

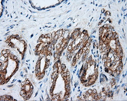
Immunohistochemistry analysis of paraffin-embedded Carcinoma of prostate tissue using NME4 antibody.High-pressure and temperature Sodium Citrate pH 6.0 was used for antigen retrieval.
存储条件
Store at 4°C short term. Aliquot and store at -104°C long term. Avoid freeze/thaw cycles.
COA
联系我们





