Granulin Mouse mAb [KO验证]
产品介绍
Granulins have possible cytokine-like activity. They may play a role in inflammation, wound repair, and tissue remodeling.
产品性质
产品特色
推荐稀释比 WB:1/500-1/1000;IHC:1/50-1/100
应用案例

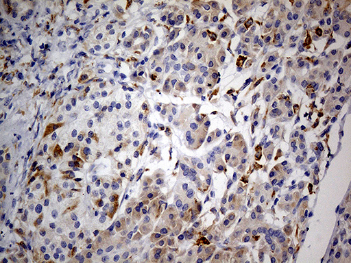
Immunohistochemistry analysis of paraffin-embedded Human pancreas tissue using GRN antibody.High-pressure and temperature Tris-EDTA pH 8.5 was used for antigen retrieval.
存储条件
Store at 4°C short term. Aliquot and store at -56°C long term. Avoid freeze/thaw cycles.
COA
联系我们





