NNMT Mouse mAb [KO验证]
产品介绍
N-methylation is one method by which drug and other xenobiotic compounds are metabolized by the liver. This gene encodes the protein responsible for this enzymatic activity which uses S-adenosyl methionine as the methyl donor. [provided by RefSeq]
产品性质
产品特色
推荐稀释比 WB:1/500-1/1000;IHC:1/50-1/100;FC:1/50-1/100
应用案例

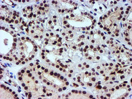
Immunohistochemistry analysis of paraffin-embedded Carcinoma of Human thyroid tissue using NNMT antibody.High-pressure and temperature Sodium Citrate pH 6.0 was used for antigen retrieval.

Flow Cytometry analysis of Jurkat stained with NNMT antibody (Red).Blue line histogram represents nonspecific negative control.
存储条件
Store at 4°C short term. Aliquot and store at -105°C long term. Avoid freeze/thaw cycles.
COA
联系我们





