Phospho-p53 (Ser392) Rabbit mAb
产品介绍
Tumor protein p53, a nuclear protein, plays an essential role in the regulation of cell cycle, specifically in the transition from G0 to G1. It is found in very low levels in normal cells, however, in a variety of transformed cell lines, it is expressed in high amounts, and believed to contribute to transformation and malignancy. p53 is a DNA-binding protein containing DNA-binding, oligomerization and transcription activation domains.
产品性质
产品特色
推荐稀释比 WB: 1/500-1/1000 IHC: 1/50-1/100 IF: 1/50-1/200 IP: 1/50
应用案例
Western

Western blot analysis of Phospho-p53 (Ser392) in HEK293 whole lysates using Phospho-p53 (Ser392) antibody.
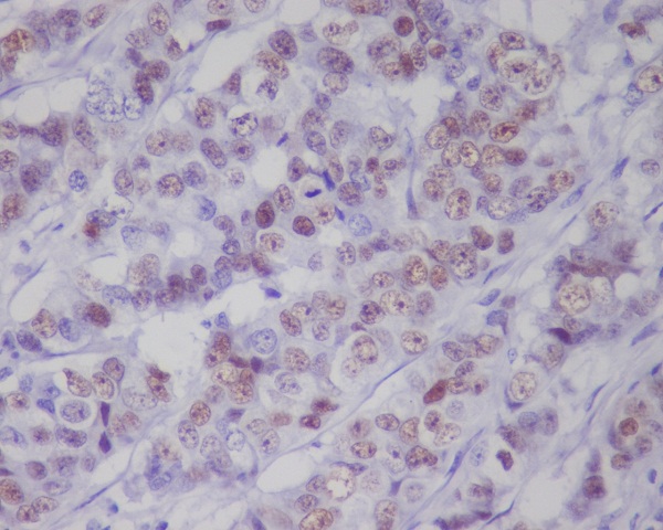
Immunohistochemistry

Immunohistochemistry analysis of paraffin-embedded Human breast using Phospho-p53 (S392) antibody.High-pressure and temperature Sodium Citrate pH 6.0 was used for antigen retrieval.
存储条件
-25 ~ -15℃保存,收到货之后有效期1年,避免反复冻融。
COA
相关产品
联系我们





