In conjuction with other heat shock proteins, this protein stabilizes existing proteins against aggregation and mediates the folding of newly translated proteins in the cytosol and in organelles. It is also involved in the ubiquitin-proteasome pathway through interaction with the AU-rich element RNA-binding protein 1. The gene is located in the major histocompatibility complex class III region, in a cluster with two closely related genes which encode similar proteins.
WB: 1/500-1/1000 IHC: 1/50-1/100 IF: 1/50-1/200
Western
Western blot analysis of Hsp70 in K562, rat Brain, C6, 3T3 lysates using Hsp70 antibody.
Immunocytochemistry
Immunocytochemistry analysis of Hsp70(green) in Hela using Hsp70 antibody,and DAPI(blue)
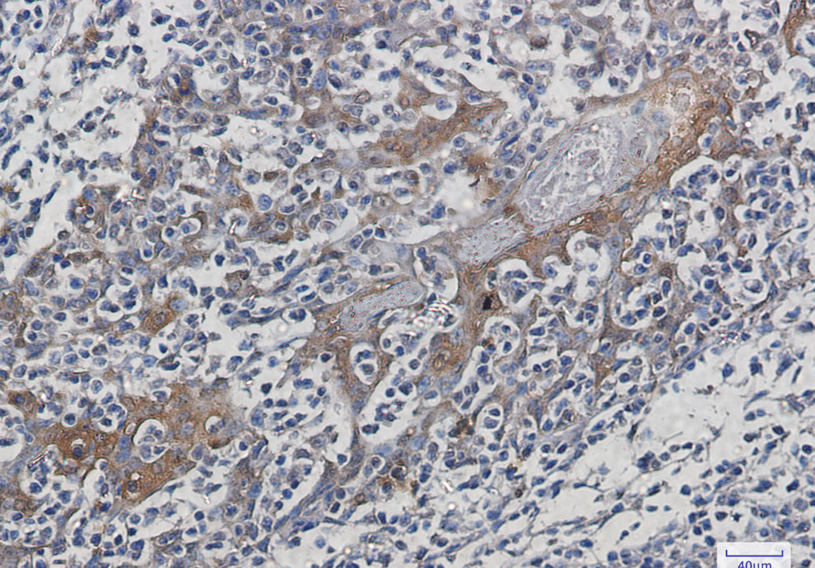
Immunohistochemistry
Immunohistochemistry analysis of paraffin-embedded Human tonsil using Hsp70 antibody. High-pressure and temperature Sodium Citrate pH 6.0 was used for antigen retrieval.
-25 ~ -15℃保存,收到货之后有效期1年,避免反复冻融。





