分子生物学
IVD分子诊断
细胞培养与分析
蛋白研究
重组蛋白
细胞因子
抗体
高通量测序建库
病原检测UCF系列
生物医药
工具酶
抑制剂激活剂与常用试剂
仪器
耗材
Elongation Factor 1A1 Rabbit mAb
产品详情
FAQ
产品文档
已发表文献
产品介绍
This protein promotes the GTP-dependent binding of aminoacyl-tRNA to the A-site of ribosomes during protein biosynthesis.
产品性质
产品特色
推荐稀释比 WB:1/500-1/1000;IHC:1/50-1/100;IF:1/50-1/200
应用案例

Immunocytochemistry analysis of Elongation Factor 1A1 (green) in Hela using Elongation Factor 1A1 antibody,and DAPI(blue).

Western blot analysis of eEF1A1/EFTu in U2OS, C6 lysates using eEF1A1/EFTu antibody.

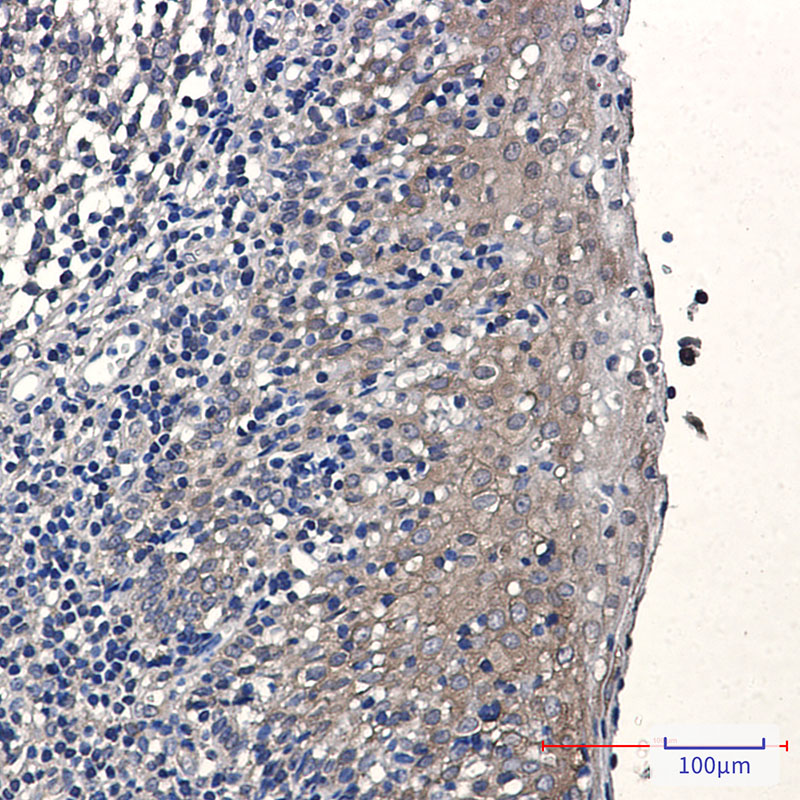
Immunohistochemistry analysis of paraffin-embedded Human tonsil using eEF1A1/EFTu antibody. High-pressure and temperature Sodium Citrate pH 6.0 was used for antigen retrieval.

存储条件
Store at 4°C short term. Aliquot and store at -20°C long term. Avoid freeze/thaw cycles.
COA
联系我们
购物车
客服
转染试用