分子生物学
IVD分子诊断
细胞培养与分析
蛋白研究
重组蛋白
细胞因子
抗体
高通量测序建库
病原检测UCF系列
生物医药
工具酶
抑制剂激活剂与常用试剂
仪器
耗材
eIF5A Rabbit mAb
产品详情
FAQ
产品文档
已发表文献
产品介绍
mRNA-binding protein involved in translation elongation. Has an important function at the level of mRNA turnover, probably acting downstream of decapping. Involved in actin dynamics and cell cycle progression, mRNA decay and probably in a pathway involved in stress response and maintenance of cell wall integrity. With syntenin SDCBP, functions as a regulator of p53/TP53 and p53/TP53-dependent apoptosis. Regulates also TNF-alpha-mediated apoptosis.
产品性质
产品特色
推荐稀释比 WB:1/500-1/1000;IHC:1/50-1/100;IF:1/50-1/200;IP:1/50;FC:1/50-1/100
应用案例

Western blot analysis of eIF5A in Jurkat lysates using eIF5A antibody.

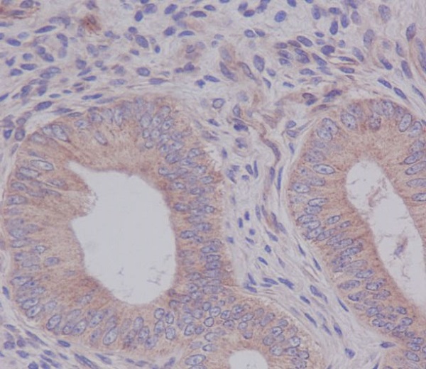
Immunohistochemistry analysis of paraffin-embedded Human uterus cancer using eIF5A antibody.High-pressure and temperature Sodium Citrate pH 6.0 was used for antigen retrieval.

Immunofluorescence analysis of eIF5A in Hela using eIF5A antibody.

存储条件
Store at 4°C short term. Aliquot and store at -20°C long term. Avoid freeze/thaw cycles.
COA
联系我们
购物车
客服
转染试用