分子生物学
IVD分子诊断
细胞培养与分析
蛋白研究
重组蛋白
细胞因子
抗体
高通量测序建库
病原检测UCF系列
生物医药
工具酶
抑制剂激活剂与常用试剂
仪器
耗材
CCR2 Rabbit mAb
产品详情
FAQ
产品文档
已发表文献
产品介绍
Receptor for the MCP-1, MCP-3 and MCP-4 chemokines. Transduces a signal by increasing the intracellular calcium ions level. Alternative coreceptor with CD4 for HIV-1 infection.
产品性质
产品特色
推荐稀释比 IHC:1/50-1/100;IP:1/50;FC:1/50-1/100
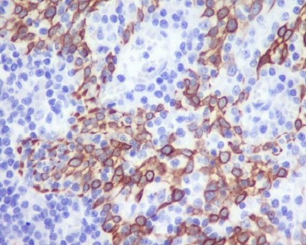
应用案例

Immunohistochemistry analysis of paraffin-embedded Human tonsil using CCR2/CKR2 antibody.High-pressure and temperature Sodium Citrate pH 6.0 was used for antigen retrieval.

存储条件
Store at 4°C short term. Aliquot and store at -20°C long term. Avoid freeze/thaw cycles.
COA
联系我们
购物车
客服
转染试用