Melanocyte Protein PMEL Mouse mAb(IHC专用)
产品介绍
Plays a central role in the biogenesis of melanosomes. Involved in the maturation of melanosomes from stage I to II. The transition from stage I melanosomes to stage II melanosomes involves an elongation of the vesicle, and the appearance within of distinct fibrillar structures. Release of the soluble form, ME20-S, could protect tumor cells from antibody mediated immunity.
产品性质
产品特色
推荐稀释比 IHC:1/100-1/500
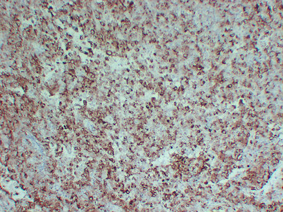
应用案例

Immunohistochemistry analysis of paraffin-embedded Malignant melanoma using Melanocyte Protein PMEL antibody.High-pressure and temperature Sodium Citrate pH 6.0 was used for antigen retrieval.
存储条件
-25 ~ -15℃保存,收到货之后有效期1年,避免反复冻融。
COA
相关产品
联系我们





