Mucin 16 Mouse mAb(IHC专用)
产品介绍
The mucins are a family of highly glycosylated, secreted proteins with a basic structure consisting of a variable number of tandem repeats (VNTRs). Thought to provide a protective, lubricating barrier against particles and infectious agents at mucosal surfaces.
产品性质
产品特色
推荐稀释比 IHC:1/100-1/500
应用案例

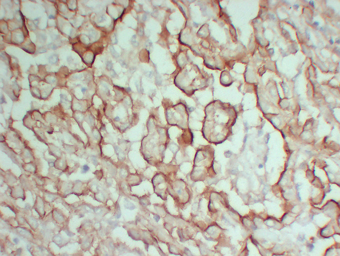
Immunohistochemistry analysis of paraffin-embedded Human Mesothelioma using Mucin 16 antibody.High-pressure and temperature Sodium Citrate pH 6.0 was used for antigen retrieval.

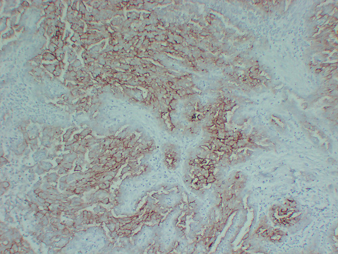
Immunohistochemistry analysis of paraffin-embedded Human Ovarian serous cystadenoma using Mucin 16 antibody.High-pressure and temperature Sodium Citrate pH 6.0 was used for antigen retrieval.
存储条件
Store at 4°C short term. Aliquot and store at -20°C long term. Avoid freeze/thaw cycles.
COA
联系我们





