分子生物学
IVD分子诊断
细胞培养与分析
蛋白研究
重组蛋白
细胞因子
抗体
高通量测序建库
病原检测UCF系列
生物医药
工具酶
抑制剂激活剂与常用试剂
仪器
耗材
NEDD8 Rabbit mAb
产品详情
FAQ
产品文档
已发表文献
产品介绍
Neural precursor cell-expressed developmentally downregulated protein 8 (NEDD8), also known as Rub1 (related to ubiquitin 1) in plants and yeast, is a member of the ubiquitin-like protein family. The covalent attachment of NEDD8 to target proteins, termed neddylation, is a reversible, multi-step process analogous to ubiquitination.
产品性质
产品特色
推荐稀释比 WB:1/500-1/1000;IHC:1/50-1/100;IF:1/50-1/200;IP:1/20
应用案例

Western blot analysis of NEDD8 in Jurkat lysates using NEDD8 antibody.

Immunocytochemistry analysis of NEDD8(green) in Hela using NEDD8 antibody,and DAPI(blue)

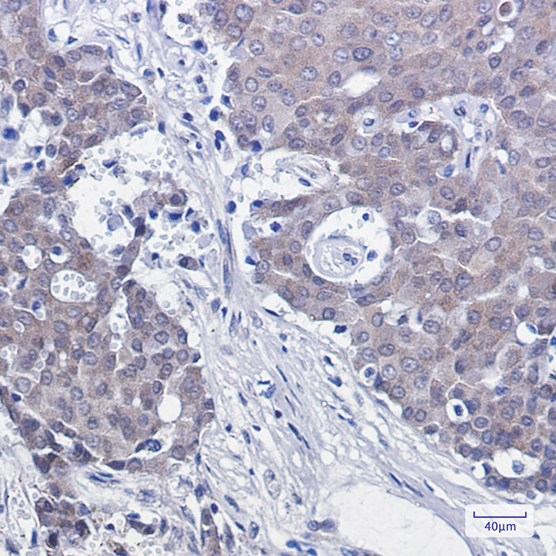
Immunohistochemistry analysis of paraffin-embedded Human breast cancer using NEDD8 antibody. High-pressure and temperature Sodium Citrate pH 6.0 was used for antigen retrieval.

存储条件
Store at 4°C short term. Aliquot and store at -20°C long term. Avoid freeze/thaw cycles.
COA
联系我们
购物车
客服
转染试用