Smad3 transcription factor phosphorylated and activated by TGF-beta-type receptors. A receptor-regulated Smad (R-smad). Binds directly to consensus DNA-binding elements in the promoters of target genes. In mouse required for establishemnt of the mucosal immune response and proper development of skeleton.
推荐稀释比 WB:1/1000-1/2000; IHC:1/100-1/200; IF:1/50-1/200

Western blot analysis of Phospho-Smad3 (S423/S425) in PC-12 lysates treated with 1%BSA using Phospho-Smad3 (Ser423/425) antibody.

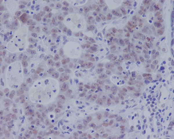
Immunohistochemistry analysis of paraffin-embedded Human gastric adenocarcinoma using Phospho-Smad3 (S423 + S425) antibody.High-pressure and temperature Sodium Citrate pH 6.0 was used for antigen retrieval.

Immunofluorescence analysis of Phospho-Smad3 (Ser423/425) in A549 treated with TGFβ, using Phospho-Smad3 (S423 + S425) antibody.
Store at 4°C short term. Aliquot and store at -20°C long term. Avoid freeze/thaw cycles.





