Pyruvate kinase is a glycolytic enzyme that catalyses the conversion of phosphoenolpyruvate to pyruvate. PKM2 is shown to be essential for aerobic glycolysis in tumors, known as the Warburg effect.
推荐稀释比 WB:1/1000-1/5000; ICC/IF:1/20-1/50; FC:1/20-1/50; IHC:1/50-1/100

Western blot analysis of PKM2 in HeLa, Jurkat,A549 lysates using PKM2 antibody.

Western blot analysis of PKM2 in HeLa,Rat skeletal muscle ,Mouse skeletal muscle lysates using PKM2 antibody.

Western blot analysis of PKM2 in HeLa lysates using PKM2 antibody.

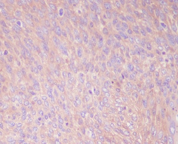
Immunohistochemistry analysis of paraffin-embedded Human cervix cancer using PKM2 antibody.High-pressure and temperature Sodium Citrate pH 6.0 was used for antigen retrieval.
Store at 4°C short term. Aliquot and store at -20°C long term. Avoid freeze/thaw cycles.





