分子生物学
IVD分子诊断
细胞培养与分析
蛋白研究
重组蛋白
细胞因子
抗体
高通量测序建库
病原检测UCF系列
生物医药
工具酶
抑制剂激活剂与常用试剂
仪器
耗材
F2R Mouse mAb
产品详情
FAQ
产品文档
已发表文献
产品介绍
Coagulation factor II receptor is a 7-transmembrane receptor involved in the regulation of thrombotic response. Proteolytic cleavage leads to the activation of the receptor. F2R is a G-protein coupled receptor family member. Alternative splicing results in multiple transcript variants.
产品性质
产品特色
推荐稀释比 IHC:1/100-1/200;ELISA:1/10000
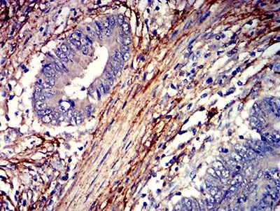
应用案例

Immunohistochemistry analysis of paraffin-embedded human rectum cancer tissues using F2R antibody.

存储条件
Store at 4°C short term. Aliquot and store at -20°C long term. Avoid freeze/thaw cycles.
COA
联系我们
购物车
客服
转染试用