alpha Synuclein Rabbit mAb
产品介绍
May be involved in the regulation of dopamine release and transport. Induces fibrillization of microtubule-associated protein tau. Reduces neuronal responsiveness to various apoptotic stimuli, leading to a decreased caspase-3 activation. Genetic alterations of SNCA resulting in aberrant polymerization into fibrils, are associated with several neurodegenerative diseases.
产品性质
产品特色
推荐稀释比 WB:1/500-1/1000;IHC:1/50-1/100;IP:1/20
应用案例

Western blot analysis of Alphasynuclein in rat Brain lysates using alpha Synuclein antibody.

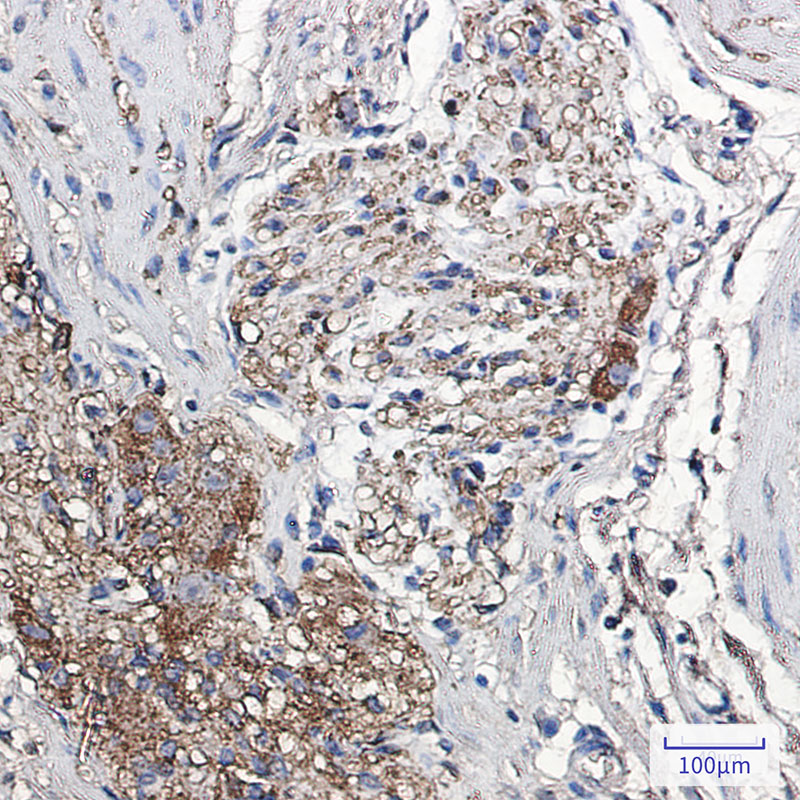
Immunohistochemistry analysis of paraffin-embedded Human colon cancer using Alphasynuclein antibody.High-pressure and temperature Sodium Citrate pH 6.0 was used for antigen retrieval.
存储条件
-25 ~ -15℃保存,收到货之后有效期1年,避免反复冻融。
COA
相关产品
推荐应用
联系我们





