Molecular chaperone implicated in a wide variety of cellular processes, including protection of the proteome from stress, folding and transport of newly synthesized polypeptides, activation of proteolysis of misfolded proteins and the formation and dissociation of protein complexes. Plays a pivotal role in the protein quality control system, ensuring the correct folding of proteins, the re-folding of misfolded proteins and controlling the targeting of proteins for subsequent degradation.
推荐稀释比 WB:1/500-1/1000;IHC:1/50-1/100;IP:1/20

Western blot analysis of Hsp70 in K562, rat Brain, 3T3, Hela lysates using Hsp70 1B antibody.

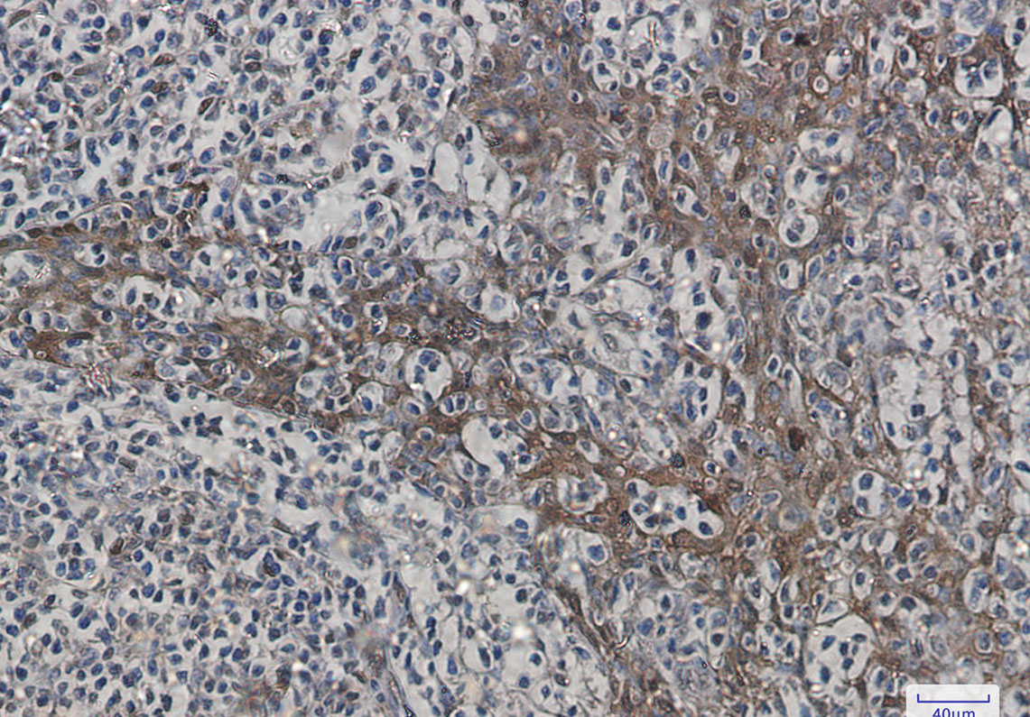
Immunohistochemistry analysis of paraffin-embedded Human tonsil using Hsp70 antibody.High-pressure and temperature Sodium Citrate pH 6.0 was used for antigen retrieval.
Store at 4°C short term. Aliquot and store at -20°C long term. Avoid freeze/thaw cycles.





