Interleukine 6 (IL-6) is a cytokine produced primarily by stimulated monocytes, fibroblasts and epithelial cells. It has a wide variety of biological functions through activating a cellsurface signaling assembly composed of IL6, IL6RA, and the shared signaling receptor gp130. The cytokine plays an essential role in the final differentiation of b-cells into Igsecreting cells, and induces myeloma, plasmacytoma growth, nerve cells differentiations. In addition, IL-6 is an important regulator of acute phase reaction.
推荐稀释比 WB:1/500-1/2000; IHC:1/100-1/300; IF:1/100-1/300; ELISA:1/20000

Western blot analysis of IL-6 in various cell lines lysates using IL-6 antibody.

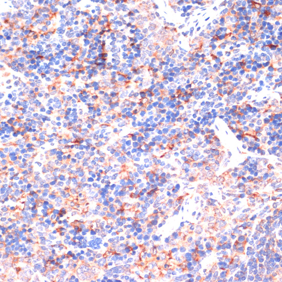
Immunohistochemistry analysis of paraffin-embedded mouse spleen using IL-6 antibody. High-pressure and temperature Sodium Citrate pH 6.0 was used for antigen retrieval.

Immunofluorescence analysis of IL-6 in RAW264.7 cells using IL-6 antibody,and DAPI (blue).
Store at 4°C short term. Aliquot and store at -20°C long term. Avoid freeze/thaw cycles.





