ER (estrogen receptor 1) a member of the steroid receptor superfamily, contains highly conserved DNA binding (DBD) and ligand binding domains (LBD). Through its estrogen-independent and estrogen-dependent activation domains (AF-1 and AF-2, respectively), ER regulates transcription by recruiting coactivator proteins and interacting with general transcriptional machinery. Phosphorylation provides an important mechanism to regulate ER activity. ER is phosphorylated on multiple sites.
WB: 1/500-1/1000 IHC: 1/50-1/100 IF: 1/50-1/200 FC: 1/50-1/100 ChIP: 1/20
Western
Western blot analysis of ER alpha in (1) MCF-7 lysates; (2)T47D lysates using Estrogen Receptor alpha antibody.
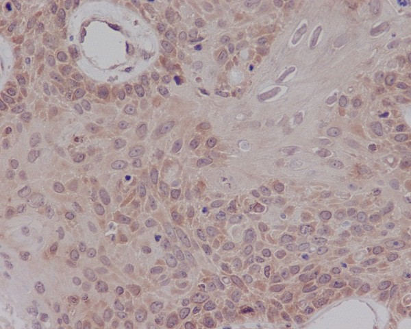
Immunohistochemistry
Immunohistochemistry analysis of paraffin-embedded Human cervix carcinoma using ER alpha antibody.High-pressure and temperature Sodium Citrate pH 6.0 was used for antigen retrieval.
Immunofluorescence
Immunofluorescence analysis of Estrogen Receptor alpha in MCF-7 using ER alpha antibody.
-25 ~ -15℃保存,收到货之后有效期1年,避免反复冻融。





