AFP is a major plasma protein expressed at high concentrations during fetal development; however, concentrations decrease drastically after birth. AFP is reactivated by approximately 80% of HCC. Like PSA, levels of serum AFP are an important diagnostic tool for detection of HCC. When hepatocytes regenerate or proliferate, AFP concentrations may increase. Elevated AFP concentrations may be observed in cirrhotic patients, during a flare-up of chronic hepatitis, or during the recovery phase postacute hepatitis. Additionally, AFP is commonly used as a tumor marker for hepatocellular carcinoma (HCC) or germ cell (nonseminoma) carcinoma.
推荐稀释比 WB:1/500-1/1000;IHC-P:1/50-1/100;ICC/IF:1/50;FC:1/50-1/100

Western blot analysis of AFP in lysate of Mouse placenta using AFP antibody.

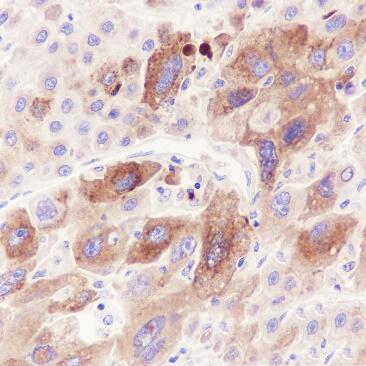
Immunohistochemistry analysis of paraffin-embedded Human liver cancer using AFP antibody.High pressure and temperature Tris/EDTA (PH 9.0) used for antigen retrieval.The brown color represents the positive signal observed with AFP antibody.

Immunocytochemistry analysis of AFP(green) in HepG2 cell line using AFP antibody,and DAPI(blue).
Store at 4°C short term. Aliquot and store at -20°C long term. Avoid freeze/thaw cycles.





