分子生物学
IVD分子诊断
细胞培养与分析
蛋白研究
重组蛋白
细胞因子
抗体
高通量测序建库
病原检测UCF系列
生物医药
工具酶
抑制剂激活剂与常用试剂
仪器
耗材
CCR7 Rabbit mAb
产品详情
FAQ
产品文档
已发表文献
产品介绍
The protein encoded by this gene is a member of the G protein-coupled receptor family. This receptor was identified as a gene induced by the Epstein-Barr virus (EBV), and is thought to be a mediator of EBV effects on B lymphocytes. This receptor is expressed in various lymphoid tissues and activates B and T lymphocytes. It has been shown to control the migration of memory T cells to inflamed tissues, as well as stimulate dendritic cell maturation. The chemokine (C-C motif) ligand 19 (CCL19/ECL) has been reported to be a specific ligand of this receptor.
产品性质
产品特色
推荐稀释比 WB:1/500-1/1000;IHC:1/50-1/100;IF:1/50-1/200;IP:1/50
应用案例

Western blot analysis of CCR7 in CCR7 in MCF-7, K562, SKOV-3 and Hela lysates using CCR7 antibody.

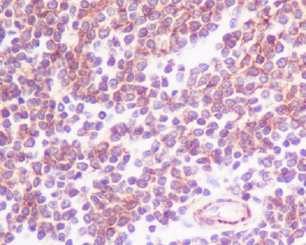
Immunohistochemistry analysis of paraffin-embedded Human spleen using CCR7 antibody.High-pressure and temperature Sodium Citrate pH 6.0 was used for antigen retrieval.

Immunofluorescence analysis of CCR7 in Hela using CCR7 antibody.

存储条件
Store at 4°C short term. Aliquot and store at -20°C long term. Avoid freeze/thaw cycles.
COA
联系我们
购物车
客服
转染试用