Programmed cell death ligand 1 (CD274, or B7-H1, PD-L1) is the first member of B7 family to be discovered. B7 family molecules are type I transmembrane proteins belonging to the immunoglobulin superfamily. In concert with their CD28 family receptors, the B7s are key regulators of the adaptive immune response. CD274 is suggested a negative regulator of T and B cell, and play important role in mediating tolerance of lymphocytes to self-antigens.
WB: 1/500-1/1000 IHC: 1/100-1/200
Western
Western blot analysis of PD-L1 (CD274) in Ramos lysates using PD-L1 antibody.
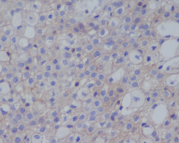
Immunohistochemistry
Immunohistochemistry analysis of paraffin-embedded human thymoma using PD-L1 antibody. High-pressure and temperature Sodium Citrate pH 6.0 was used for antigen retrieval.
-25 ~ -15℃保存,收到货之后有效期1年,避免反复冻融。





