GNB2 Rabbit mAb
产品介绍
Guanine nucleotide-binding proteins (G proteins) are involved as a modulator or transducer in various transmembrane signaling systems. The beta and gamma chains are required for the GTPase activity, for replacement of GDP by GTP, and for G protein-effector interaction.
产品性质
产品特色
推荐稀释比 WB:1/500-1/1000;IHC:1/50-1/100;IP:1/20
应用案例

Western blot analysis of GNB2 in rat Brain, C6, 3T3, Hela lysates using GNB2 antibody.

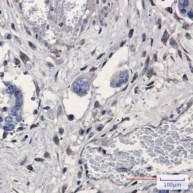
Immunohistochemistry analysis of paraffin-embedded Human Cholangiocarcinoma using GNB2 antibody.High-pressure and temperature Sodium Citrate pH 6.0 was used for antigen retrieval.
存储条件
Store at 4°C short term. Aliquot and store at -20°C long term. Avoid freeze/thaw cycles.
COA
联系我们





