Growth factor active in angiogenesis, vasculogenesis and endothelial cell growth. Induces endothelial cell proliferation, promotes cell migration, inhibits apoptosis and induces permeabilization of blood vessels. Binds to the FLT1/VEGFR1 and KDR/VEGFR2 receptors, heparan sulfate and heparin.
推荐稀释比 WB:1/500-1/2000; IHC:1/100-1/300.; IF:1/50-1/200

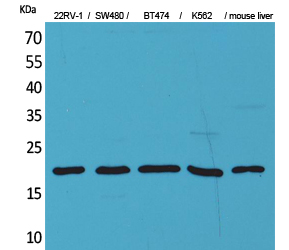
Western blot analysis of VEGFA in 22RV SW480, BT474, K562, mouse liver lysates using VEGFA antibody.

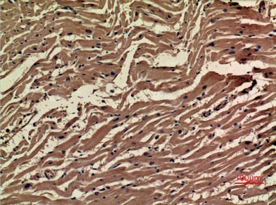
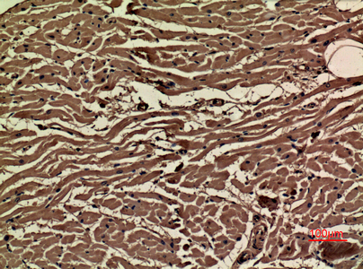
Immunohistochemistry analysis of paraffin-embedded Human heart using VEGFA antibody.High-pressure and temperature Sodium Citrate pH 6.0 was used for antigen retrieval.

Immunohistochemistry analysis of paraffin-embedded Human heart using VEGFA antibody. High-pressure and temperature Sodium Citrate pH 6.0 was used for antigen retrieval.
Store at 4°C short term. Aliquot and store at -20°C long term. Avoid freeze/thaw cycles.





