The Ki-67 protein (also known as MKI67) is a cellular marker for proliferation. Ki67 is present during all active phases of the cell cycle (G1, S, G2 and M), but is absent in resting cells (G0). Cellular content of Ki-67 protein markedly increases during cell progression through S phase of the cell cycle. Therefore, the nuclear expression of Ki67 can be evaluated to assess tumor proliferation by immunohistochemistry. It has been demonstrated to be of prognostic value in breast cancer. In head and neck cancer, several studies have reported an association between high proliferative activity and poorer prognosis.
推荐稀释比 IHC:1/50-1/100; IF:1/50-1/200

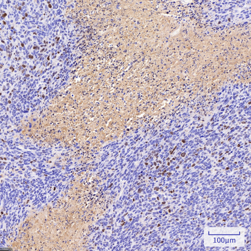
Immunohistochemistry analysis of paraffin-embedded Human liver cancer in Chimera mouse using Ki67 antibody. High-pressure and temperature Sodium Citrate pH 6.0 was used for antigen retrieval.
SStore at 4°C.Avoid freeze/thaw cycles.





