mTOR is a Ser/Thr protein kinase that functions as an ATP and amino acid sensor to balance nutrient availability and cell growth. When sufficient nutrients are available, mTOR responds to a phosphatidic acid-mediated signal to transmit a positive signal to p70 S6 kinase and participate in the inactivation of the eIF4E inhibitor, 4E-BP1. These events result in the translation of specific mRNA subpopulations. mTOR is phosphorylated at Ser2448 via the PI3 kinase/Akt signaling pathway and autophosphorylated at Ser2481. mTOR plays a key role in cell growth and homeostasis and may be abnormally regulated in tumors.
推荐稀释比 WB:1/500-1/2000; IHC:1/100-1/400; IF:1/50-1/200; IP:1/30; FC:1/50-1/100

Western blot analysis of mTOR in SH-SY5Y and rat Brain lysates using mTOR antibody.

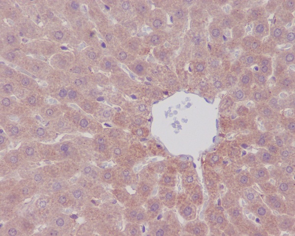
Immunohistochemistry analysis of paraffin-embedded rat liver using mTOR antibody.High-pressure and temperature Sodium Citrate pH 6.0 was used for antigen retrieval.

Western blot analysis of mTOR in Jurkat lysates using mTOR antibody
Store at 4°C short term. Aliquot and store at -20°C long term. Avoid freeze/thaw cycles.





