Phospho-GATA3 (Ser308) Rabbit mAb
产品介绍
Transcriptional activator which binds to the enhancer of the T-cell receptor alpha and delta genes. Binds to the consensus sequence 5'-AGATAG-3'. Required for the T-helper 2 (Th2) differentiation process following immune and inflammatory responses.
产品性质
产品特色
推荐稀释比 WB:1/500-1/1000;IHC:1/50-1/100;IP:1/20
应用案例

Western blot analysis of Phospho-GATA3 (Ser308) in A549, MCF-7, U251 lysates using Phospho-GATA3 (Ser308) antibody.

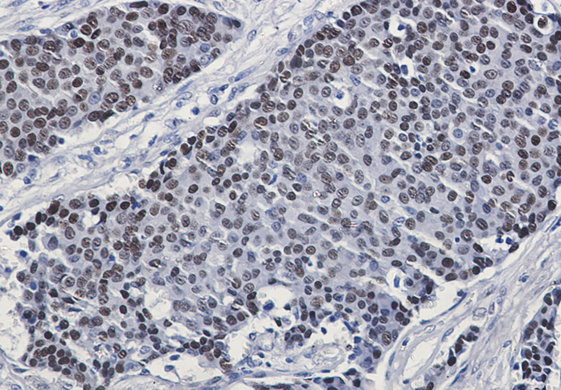
Immunohistochemistry analysis of paraffin-embedded Human breast cancer using GATA3 (Phospho-Ser308) antibody.High-pressure and temperature Sodium Citrate pH 6.0 was used for antigen retrieval.
存储条件
Store at 4°C short term. Aliquot and store at -20°C long term. Avoid freeze/thaw cycles.
COA
联系我们





