Phospho-mTOR (Ser2448) Rabbit mAb
产品介绍
An atypical kinase belonging to the PIKK family of kinases. Controls cell growth through protein synthesis regulation. Downstream of PI3K/Akt pathway and required for cell survival. Acts as the target for the cell-cycle arrest and immunosuppressive effects of the FKBP12-rapamycin complex.
产品性质
产品特色
推荐稀释比 WB:1/500-1/1000;IHC:1/100-1/200
应用案例

Western blot analysis of Phospho-mTOR (S2448) in HEK293 lysates using Phospho-mTOR (Ser2448) antibody.

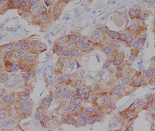
Immunohistochemistry analysis of paraffin-embedded human breast cancer using Phospho-mTOR (S2448) antibody. High-pressure and temperature Sodium Citrate pH 6.0 was used for antigen retrieval.
存储条件
Store at 4°C short term. Aliquot and store at -20°C long term. Avoid freeze/thaw cycles.
COA
联系我们





