PHKG2 Mouse mAb [KO验证]
产品介绍
Catalytic subunit of the phosphorylase b kinase (PHK), which mediates the neural and hormonal regulation of glycogen breakdown (glycogenolysis) by phosphorylating and thereby activating glycogen phosphorylase.
产品性质
产品特色
推荐稀释比 WB:1/500-1/1000;IHC:1/50-1/100
应用案例

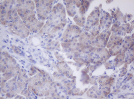
Immunohistochemistry analysis of paraffin-embedded Human pancreas tissue using PHKG2 antibody.High-pressure and temperature Sodium Citrate pH 6.0 was used for antigen retrieval.
存储条件
Store at 4°C short term. Aliquot and store at -108°C long term. Avoid freeze/thaw cycles.
COA
联系我们





