TRPS1 Rabbit mAb(IHC专用)
产品介绍
Transcriptional repressor. Binds specifically to GATA sequences and represses expression of GATA-regulated genes at selected sites and stages in vertebrate development. Regulates chondrocyte proliferation and differentiation. Executes multiple functions in proliferating chondrocytes, expanding the region of distal chondrocytes, activating proliferation in columnar cells and supporting the differentiation of columnar into hypertrophic chondrocytes.
产品性质
产品特色
推荐稀释比 IHC:1/100-1/200
应用案例

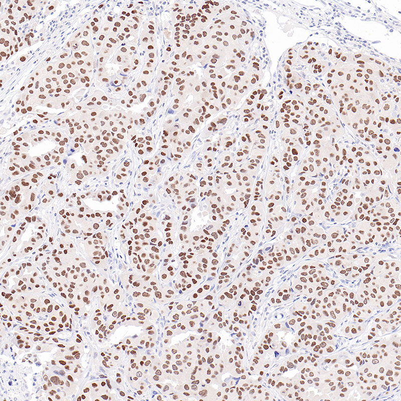
Immunohistochemistry analysis of paraffin-embedded Breast Cancer using TRPS1 antibody.High-pressure and temperature Tris-EDTA pH 8.0 was used for antigen retrieval.
存储条件
Store at 4°C short term. Aliquot and store at -20°C long term. Avoid freeze/thaw cycles.
COA
联系我们





