TrkB Mouse mAb
产品介绍
This gene encodes a member of the neurotrophic tyrosine receptor kinase (NTRK) family. This kinase is a membrane-bound receptor that, upon neurotrophin binding, phosphorylates itself and members of the MAPK pathway. Signalling through this kinase leads to cell differentiation. Mutations in this gene have been associated with obesity and mood disorders. Alternative splicing results in multiple transcript variants.
产品性质
产品特色
推荐稀释比 IHC:1/100-1/200;ELISA:1/10000
应用案例

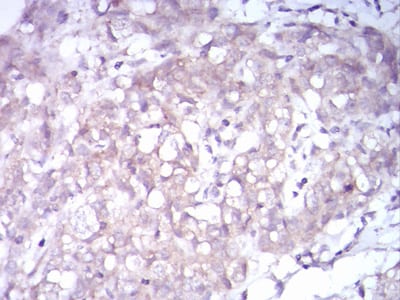
Immunohistochemistry analysis of paraffin-embedded human breast cancer tissues using TrkB antibody.
存储条件
-25 ~ -15℃保存,收到货之后有效期1年,避免反复冻融。
COA
相关产品
推荐应用
联系我们





