TUBB3 Tubulin is the major constituent of microtubules. It binds two moles of GTP, one at an exchangeable site on the beta chain and one at a non-exchangeable site on the alpha-chain. TUBB3 plays a critical role in proper axon guidance and mantainance.
推荐稀释比 WB:1/500-1/1000;IHC:1/50-1/100;IF:1/50-1/200;IP:1/20

Western blot analysis of beta III Tubulin in mouse brain lysates using beta III Tubulin antibody.

Western blot analysis of beta III Tubulin in rat Brain, Hela lysates using beta III Tubulin antibody.

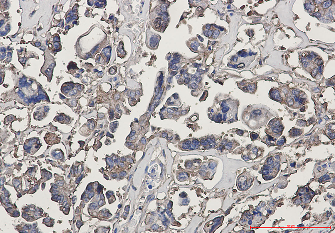
Immunohistochemistry analysis of paraffin-embedded Human Cholangiocarcinoma using beta III Tubulin antibody. High-pressure and temperature Sodium Citrate pH 6.0 was used for antigen retrieval.

Immunocytochemistry analysis of beta III Tubulin (green) in Hela using beta III Tubulin antibody,and DAPI(blue).
Store at 4°C short term. Aliquot and store at -20°C long term. Avoid freeze/thaw cycles.





